
Dermatology Focus: Canine Pemphigus Foliaceus
By Dr. Chanran Ganta
What is Pemphigus Foliaceus?
Pemphigus Foliaceus is an autoimmune vesicobullous to pustular skin disease in dogs characterized by acantholysis or loss of adhesion between keratinocytes within the epidermis and hair follicles. The disease is characterized by production of autoantibodies against intercellular connections of the keratinocytes. This occurs in the superficial layers of the epidermis called desmoglein 1, causing weakening of the connections between the keratinocytes resulting inpustules that often contain free floating loose keratinocytes (acantholysis).
What are the clinical signs?
This is typically a disease of middle-aged dogs but any age can be affected. The clinical presentation is dependent on the type of breed, inciting factors (natural or drug induced) and the cyclical nature of the disease. Clinical lesions include pustules, crusts, erosions, ulcers and alopecia. The most common areas involved are dorsal muzzle, nasal planum, pinnae, periorbital skin and paw pads. A striking bilaterally symmetric distribution of clinical lesions is a key feature of this condition.
What are the predisposing factors?
-
Natural form pemphigus folieaceus: Genetic predisposition is noticed in Bearded Collie, Akita, Chow Chow, Newfoundland, Schipperke, and Doberman Pinscher. In addition, English springer spaniel, Chinese Shar Pei, and Collie also have been shown to be at increased risk. The facially predominant form is most commonly seen in chow chows, and akitas.
-
Drug induced form: The drug-induced form is more common in the Doberman pinscher and Labrador retriever. A drug induced form often mimics the naturally occurring condition with some variations, such as sudden onset, early age and oral involvement. Drugs commonly implicated in the disease include various antibiotics. The disease can also be seen in dogs on long term treatment for chronic skin conditions like allergies.
How do you diagnose the disease?
Surgical biopsy and histopathological examination of the skin remains the gold standard for diagnosis of pemphigus folieaceus. However, a definitive diagnosis cannot be reached in some instances due to the stage of the disease and the quality of the biopsy. Biopsies should be collected from sites directly adjacent to early pustules and vesiculopustules, immediately placed in formalin and submitted for microscopic examination. Subcorneal pustules with acantholytic keratinocytes is the hallmark lesion for diagnosis of pemphigus folieaceus. Note: Submitting multiple biopsies greatly increases the likelihood of finding a diagnostic lesion.Often, secondary pyoderma complicates the disease process. It is often recommended to treat the dog for pyoderma prior to collecting samples for surgical biopsy. We recommend submitting a complete clinical history which includes breed, age, distribution of lesions, clinical course and past history of treatment and underlying skin conditions.
Please call KSVDL to setup a consult with Dr. Mary Swanson-Bagladi at the KSU Veterinary Health Center in regards to current treatment options for clinical management of this condition, 785-532-5690.
- Skin Diseases of the Dog and Cat: Clinical and Histopathologic Diagnosis, Second Edition Thelma Lee Gross, Peter J. Ihrke, Emily J. Walder, Verena K. Affolter
- Pemphigus: current therapy. Rosenkrantz WS Vet Dermatol. 2004 Apr;15(2):90-8.
Figure 1: Clinical Presentation |
|
![]() |
![]() |
Marked crusting and hyperkeratosis of foot pads |
Crusting and Pustules on the dorsal muzzle, nasal planum, pinnae, periorbital skin |
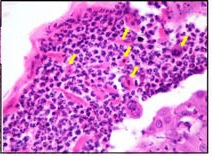
Figure 2: Histopathology |
|
![]() |
![]() |
Skin showing subcorneal pustules with crusting |
Arrows showing acantholytic keratinocytes admised with neutrophills |